当前位置:佛山顺德无痛人流多少钱 > 宫颈疾病 > 宫颈息肉 >
内容概要: 宫颈息肉在已婚妇女中比较常见,一般是由于炎症长期刺激所引起,宫颈息肉基本不会出现什么明显症状,女性大都是在妇检中才能看到宫颈息肉很小,都没有引起关注。那么,宫颈息肉都需要做哪些检查?以下是 佛山顺德九龙妇科 专家为您详细介绍。 宫颈息肉检查项目:.....
宫颈息肉在已婚妇女中比较常见,一般是由于炎症长期刺激所引起,宫颈息肉基本不会出现什么明显症状,女性大都是在妇检中才能看到宫颈息肉很小,都没有引起关注。那么,宫颈息肉都需要做哪些检查?以下是佛山顺德九龙妇科专家为您详细介绍。
宫颈息肉检查项目:
◆镜检:子宫内膜息肉由子宫内膜组成,表面被覆一层立方上皮或低柱状上皮。息肉中间部分形成纤维性纵轴,其内包含血管。因为蒂部狭窄,血液供给减小,息肉十分容易变性。容易发生息肉血管内血栓形成,因瘀血而变成深紫色,常于顶部开始发生坏死,可能腐崩而蜕落。
◆宫颈活检:病状较重者,可做宫颈活检以确诊。息肉恶变的病理诊断标准是务必看到全部息肉的形态。》》》推荐阅读:女性有必要定期做妇科体检吗?
◆巴氏染色:宫颈巴氏分级是早期发现宫颈癌的一种简单有效的办法是将宫颈上皮细胞进行固定染色显微镜下观察通常分为五个级别:Ⅰ级细胞正常;Ⅱ级有炎症表现;Ⅲ级有可疑恶性细胞;Ⅳ级有癌细胞待证实;Ⅴ级有癌细胞准确率很高。推荐阅读:宫颈息肉对怀孕的影响
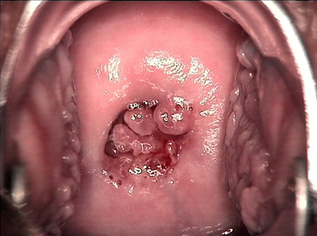
◆妇科体检:急性炎症可看见宫颈充血水肿,或糜烂,有脓性分泌液白宫颈管排出,触摸宫颈时会有疼痛感。慢性宫颈炎可看见宫颈有程度不同的糜烂、肥大、息肉、腺体囊肿、外翻等表现,或见宫颈口有脓性分泌液,触诊宫颈较硬。若是宫颈糜烂或息肉,会有接触性出血。

治疗宫颈息肉选择九龙医院的四大理由
1、知名品牌:自建院以来,我们肩负着患者的健康和信任,经过不断的努力和探索,获得了广大的宫颈疾病女性患者的喜爱和称赞。
2、资深专家:我们的专家医疗经验丰富、医德高尚、在医术上精益求精,让意外怀孕看病放心、省心、安心。采用"一对一"形式资深专家为您服务。
3、一流技术:为了每一位女性的安全和健康,我院引进德国BBT自凝消融技术,无痛、无伤害解决女性患者的担忧。
4、优雅环境:我院宫颈疾病科从装修格调到环境布置都充分体现了“人性化”的特点,安静优雅的环境、柔和的色彩、贴心的服务,给患者家一般的感觉。
专家指出:上述介绍相信您对“宫颈息肉都需要做哪些检查?”有所了解,宫颈息肉的危害甚大,要及时只治疗,治疗宫颈息肉的方法有很多种,但是选择一种合适的治疗方法才是最重要的。您还有什么不了解的,请点击【在线咨询】我们佛山顺德九龙医院的专家会为您详细解答。
本文章链接地址:http://www.leren.cc/gjxr/1020.html (转载时请注明出处!)
(责任编辑:陈晓伟)